
PUMPA - SMART LEARNING
எங்கள் ஆசிரியர்களுடன் 1-ஆன்-1 ஆலோசனை நேரத்தைப் பெறுங்கள். டாப்பர் ஆவதற்கு நாங்கள் பயிற்சி அளிப்போம்
Book Free Demoபணி
- முதுகெலும்பிகளின் உடல் அமைப்பை உருவாக்குகிறது.
- உடலுக்கு வலு சேர்க்கும்.
- உள் உறுப்புகளுக்கு பாதுகாப்பு தரும்.
- நகர்தலுக்கும் (அசைதல்) உதவி செய்கிறது.
மேலும், இது இரு வகைப்படும். அவை பின்வருமாறு,
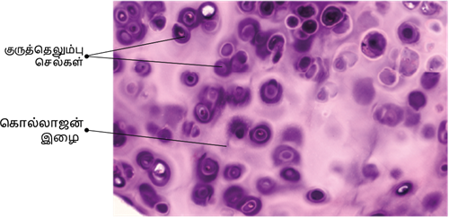
i. குருத்தெலும்பு

குருத்தெலும்புத் திசு அல்லது கான்ட்ரோசைட்ஸ்
அமைப்பு
- இவை இயற்கையில் மிருதுவானவை. அரை விரைப்புத் தன்மையுடைய, இளகிய மற்றும் குறைந்த நாளம் கொண்டவை. பெரிய குருத்தெலும்பு செல்களான கான்ட்ரோசைட்ஸ்களை மேட்ரிக்ஸ் கொண்டுள்ளது.
இருப்பிடம்
- இந்த செல்கள், திரவம் நிரம்பிய லாக்குனே எனும் இடைவெளிகளில் உள்ளன. குருத்தெலும்பானது மூக்கு நுனி, வெளிக்காது, நீண்ட எலும்பின் முடிவுப் பகுதி, தொண்டை மற்றும் குரல்வளையில் உள்ளது.
பணி
- மூட்டுகளின் மேற்பகுதியை மென்மையாக்கும், உடற்பாகங்களுக்கு ஆதாரம் மற்றும் இளகு தன்மையை தருகிறது.
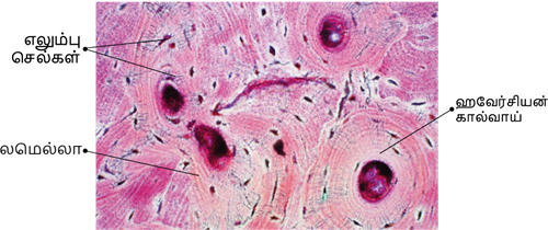
ii. எலும்பு

எலும்புத் திசு அல்லது ஆஸ்டியோசைட்ஸ்
அமைப்பு
- இது திடமான, விறைத்த மற்றும் உறுதியான இளகு தன்மையற்று இருக்கும். மேட்ரிக்ஸ், பல அடர்ந்த வளைய அடுக்குககள் கானாலிகுலை (canaliculi) என்ற நுண் கால்வாய் பின்னல் மூலம் ஒன்றோடு ஒன்று தொடர்பு கொள்கின்றன.
இருப்பிடம்
- இரு தகட்டெலும்புகளுக்கு இடையே உள்ள திரவம் நிரம்பிய இடைவெளிகள் லேக்குனா எனப்படும். இதில் எலும்பு செல்கள் என்னும் ஆஸ்டியோசைட்ஸ்கள் காணப்படும். இடைவெளியின் வெற்றுக்குழி, மஜ்ஜை குழி என்று அழைக்கப்படுகிறது. இவை எலும்பு மஜ்ஜையால் நிரம்பியுள்ளன.
பணி
- எலும்பு மேட்ரிக்ஸில், கால்சியம் உப்பு மற்றும் கொலாஜன் நார் நிறைந்து எலும்புகளுக்கு வலுவை சேர்க்கிறது. உடலுக்கு வடிவத்தையும் கட்டமைப்பையும் தரும். மென்திசுக்களுக்கும் மற்றும் உள்ளுறுப்புகளுக்கும், ஆதாரத்தையும் பாதுகாப்பையும் தருகின்றது.