
PUMPA - SMART LEARNING
எங்கள் ஆசிரியர்களுடன் 1-ஆன்-1 ஆலோசனை நேரத்தைப் பெறுங்கள். டாப்பர் ஆவதற்கு நாங்கள் பயிற்சி அளிப்போம்
Book Free DemoThe thyroid gland is the largest endocrine gland located anterior to the thyroid cartilage of the larynx in the neck. It is comprised of two lobes that are positioned one on either side of the trachea. A narrow band of tissue called the isthmus connects the two lobes.

Thyroid gland
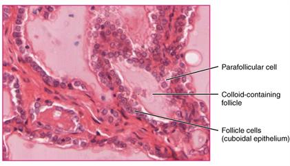
The thyroid gland is well supplied with blood vessels and is composed of glandular follicles, lined by cuboidal epithelium. The follicles are filled with a homogenous colloid material called thyroglobulin. Iodine and the amino acid tyrosine are involved in the formation of thyroid hormones.

Thyroid glandular follicles
Hormones secreted by thyroid gland:
The hormones secreted by the thyroid gland include:
1. Triiodothyronine (\(T_3\))
2. Tetraiodothyronine or Thyroxine (\(T_4\))
3. Calcitonin
\(T_3\) and \(T_4\) contain three and four iodine atoms, respectively. \(T_3\) is secreted in smaller amounts but is more potent and active than \(T_4\). \(T_4\) can be converted into \(T_3\) by removing an iodine atom in the kidneys, liver. Both \(T_3\) and \(T_4\) have similar effects and thus are considered together as thyroid hormone (TH).
Important!
In \(1914\), Edward C. Kendal crystallised the thyroxine hormone for the first time. Charles Harrington and George Barger identified the molecular structure of thyroxine in \(1927\). Thyroid gland requires "\(120\) \(\mu g\)” of iodine daily for the production of thyroxine.
Calcitonin is secreted by the thyroid gland when the calcium level in blood is high. It lowers calcium levels by suppressing the release of calcium ions from the bones.

Thyroid hormones secreted from thyroid gland along with the negative feedback mechanism
Functions of thyroid hormones:
1. They regulate the metabolic rate and produce energy by maintaining the body's Basal Metabolic Rate (BMR).
2. They help to maintain the normal body temperature.
3. It influences the activity of the central nervous system (CNS).
4. They stimulate the synthesis of protein and thus control the body's growth and bone formation.
5. They are essential for normal physical, mental and
personality development.
6. It is also called the personality hormone.
7. They regulate cell metabolism.
8. They help in the metamorphosis of a tadpole into an adult frog.

Thyroid hormone functions to increase metabolism, promotes growth and development
Reference:
https://commons.wikimedia.org/wiki/File:Anterior_thyroid.jpg
https://commons.wikimedia.org/wiki/File:Thyroid_follicle_cells.jpg
https://upload.wikimedia.org/wikipedia/commons/d/de/Figure_37_04_01.png
https://commons.wikimedia.org/wiki/File:201405_thyroid_gland.png