
PUMPA - SMART LEARNING
எங்கள் ஆசிரியர்களுடன் 1-ஆன்-1 ஆலோசனை நேரத்தைப் பெறுங்கள். டாப்பர் ஆவதற்கு நாங்கள் பயிற்சி அளிப்போம்
Book Free DemoSome of the diseases that affect the teeth and gums are as given below:
Bleeding gums:

Bleeding gums
Causes:
It is caused due to the deficiency of vitamin C.
Impacts/ consequences:
Bleeding of the gums.
Remedial measures:
It can be prevented by consuming citrus fruits.
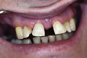
Periodontitis:

Teeth affected with periodontitis
Causative agent:
It is mainly caused due to chewing tobacco.
Impacts/ Consequences:
It is a severe form of gum disease that ruins the bones, gums, and other tissues.
Remedial measures:
- Chewing of tobacco should be avoided.
- A well-balanced diet should be followed.
Tooth decay:

Decaying tooth
Causative agents:
It is caused mainly due to the presence of bacteria in plaque.
Impacts/ consequences:
The tooth starts decaying due to the acids produced by the bacteria.
Remedial measures:
Decay of teeth can be prevented by regular brushing and flossing of teeth.
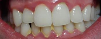
Gingivitis (Gum disease):

Teeth affected with Gingivitis
Causative agents:
It is due to the building up of plaque in teeth.
Impacts/ consequences:
It leads to the swelling and bleeding of gums.
Remedial measures:
It can be prevented by regular brushing and flossing of teeth.
Reference:
https://commons.wikimedia.org/wiki/File:Zahnwanderung_wegen_Periodontitis_OK_05.JPG
https://commons.wikimedia.org/wiki/File:Dental_Caries_Cavity_2.JPG
https://upload.wikimedia.org/wikipedia/commons/5/53/Gingivitis-before.JPG