
PUMPA - SMART LEARNING
எங்கள் ஆசிரியர்களுடன் 1-ஆன்-1 ஆலோசனை நேரத்தைப் பெறுங்கள். டாப்பர் ஆவதற்கு நாங்கள் பயிற்சி அளிப்போம்
Book Free DemoThere is an iodine shortage in the subcontinent's soil. This shortage affects both the animals and plants fed on the iodine-deficient soil. And so, India's entire population is susceptible to Iodine deficiency disorders (\(IDD\)).
Goitre, cretinism, hypothyroidism, Myxoedema, Grave's disease are examples of IDDs. So, how these IDDs are happening? Because the lack of iodine in our body affects the thyroid gland secretions resulting in the IDDs mentioned above.
Thyroid gland
Location:
The thyroid gland originates from the embryo's endoderm. It is the largest endocrine gland in the body, and it is situated anterior to the thyroid cartilage of the larynx in the neck, looking like a butterfly.

Thyroid gland
Structure: It is a bilobed organ. The two lobes are connected by an isthmus, a tiny flap of connective tissue.
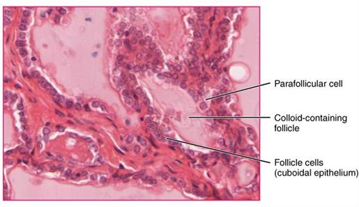
Composition: Thyroid follicles and stromal tissues make up the thyroid gland. Each thyroid follicle is made up of cubical epithelium and filled with colloid, a homogeneous material. The stroma of the gland is made up of a small amount of loose connective tissue. The stroma of the thyroid gland contains parafollicular or c cells.

Thyroid glandular follicles
Hormones of the thyroid gland
- Thyroxine or tetraiodothyronine (\(T4\))
- Triiodothyronine (\(T3\))
- Thyrocalcitonin (\(CT\))
Important!
Note: Thyroid follicular cells produce \(T4\) and \(T3\) hormones. Iodine is required for the thyroid to produce hormones at a regular rate. Both are iodinated forms of tyrosine, an amino acid. \(T3\) is a more active and potent thyroid hormone than \(T4\). \(T4\) is transformed to \(T3\) in the liver, kidneys, and specific tissues by removing one iodine atom. Thyroxine is also called as "Personality hormone".
Functions of \(T3\) and \(T4\)
- Controls metabolism in tissues, and thus, controls growth
- Both hormones regulate the metabolic rate of the body and maintain basal metabolic rate (BMR).
- Influences bone ossification that is the formation of bone.
- Maintains body temperature
- Maturation of brain
- Support the process of blood cell formation
- Regulate carbohydrates, proteins and fats metabolism
Thyrocalcitonin (\(CT\))
Calcitonin is also known as thyrocalcitonin. It is a protein hormone synthesized by parafollicular cells (C cells) in the thyroid gland in humans and other mammals.
Thyroid hormones secreted from thyroid gland along with the negative feedback mechanism
Functions
- Regulates concentration of calcium in the blood
- Participates in phosphorous metabolism
- Calcitonin inhibits the release of calcium ions from the bones, lowering blood calcium levels.
Thyroid-stimulating hormone stimulates the thyroid gland to release hormones. Thyrotropin is another name for \(TSH\). It is produced by the anterior lobe of the pituitary gland.
Important!
Iodine is required for the thyroid to produce hormones at a regular rate.

Thyroid hormone functions to increase metabolism, promotes growth and development
Disorders related to the activity of the thyroid gland
It leads to the following diseases.
The video explaining the thyroid gland, hormones and disorders related to the activity of the thyroid gland
Cretinism in children
Cretinism in children is characterised by an underdeveloped sex organ and delays in physical and mental development during childhood.

Cretinism
Myxoedema in adults or gull's disease
A decrease in basal metabolism causes physically and emotionally tiredness. It has a puffy appearance due to fat accumulation in subcutaneous tissue, lack of awareness, slow heartbeat, and other factors.

A man with Myxoedema
Goitre (swelling in the neck)
A goitre (Iodine deficiency goitre) is an enlargement of the thyroid gland. A shortage of iodine in the diet causes it. Although goitres are normally painless, a large goitre can induce coughing and make swallowing and breathing difficult.

Large goitre in a woman
Hypersecretion of Thyroxine
This condition causes the following diseases.
Hyperthyroidism
Hyperthyroidism speeds up the body's metabolism, resulting in unexpected weight loss and an irregular heartbeat.
Grave's disease
Grave's disease, also known as exophthalmic goitre. It is a kind of hyperthyroidism that produces eyeball protrusion due to fluid accumulation, weight loss, nervousness, and a rapid heartbeat.

Symptoms of Grave's disease
Important!
In \(1914\), Edward C. Kendal crystallised the thyroxine hormone for the first time. Charles Harrington and George Barger identified the molecular structure of thyroxine in \(1927\). Thyroid gland requires "\(120\) μg” of iodine daily for the production of thyroxine.
Reference:
https://upload.wikimedia.org/wikipedia/commons/9/9f/Thyroid_gland_la.svg
https://commons.wikimedia.org/wiki/File:A_woman_suffering_from_Goiter.png
https://www.flickr.com/photos/51234202@N06/4713284038/in/photolist-8buP8U-T1EFzQ-awgsPx-7qejP6-arUxXt-2hgGj4B-nhJUNY-wsqpL3-o7zxL2-2j4sw8j-MDc6xr-7qejU4-7qifrJ-7qekfB-7qifuA-7qifjA-7qifxS-aeQUWC-7qifoh-7qejLe-o7hbnF-o7sptJ-o9mDeZ-c5SxjN-o9mBjM-2kALrFe-o7snLf-2kALrPa-2kALrPR-5xuHUM-2kALrU5-2kAQBM7-2kALrRV-2iTjvoj-bti4wH-2kAPZpw-o9mBn2-8a8woy-pobqwn-o7D6uX-23U4ain-7QnFbq-m2YCTL-6oTyka-rwYyUg-rfCEyB-rfCDR4-5Fmq1j-5FmrP3-2jtdcKG
https://commons.wikimedia.org/wiki/File:Myxedema_standing.png
https://commons.wikimedia.org/wiki/File:HyperaldosteronismSymptoms.jpeg
https://commons.wikimedia.org/wiki/File:Thyroid_scintigraphy.jpg
https://www.flickr.com/photos/51234202@N06/4713284038/in/photolist-8buP8U-T1EFzQ-awgsPx-7qejP6-arUxXt-2hgGj4B-nhJUNY-wsqpL3-o7zxL2-2j4sw8j-MDc6xr-7qejU4-7qifrJ-7qekfB-7qifuA-7qifjA-7qifxS-aeQUWC-7qifoh-7qejLe-o7hbnF-o7sptJ-o9mDeZ-c5SxjN-o9mBjM-2kALrFe-o7snLf-2kALrPa-2kALrPR-5xuHUM-2kALrU5-2kAQBM7-2kALrRV-2iTjvoj-bti4wH-2kAPZpw-o9mBn2-8a8woy-pobqwn-o7D6uX-23U4ain-7QnFbq-m2YCTL-6oTyka-rwYyUg-rfCEyB-rfCDR4-5Fmq1j-5FmrP3-2jtdcKG
https://commons.wikimedia.org/wiki/File:Myxedema_standing.png
https://commons.wikimedia.org/wiki/File:HyperaldosteronismSymptoms.jpeg
https://commons.wikimedia.org/wiki/File:Thyroid_scintigraphy.jpg
https://upload.wikimedia.org/wikipedia/commons/thumb/9/9f/Woman_with_large_goitre_Wellcome_L0062870.jpg/512px-Woman_with_large_goitre_Wellcome_L0062870.jpg
https://upload.wikimedia.org/wikipedia/commons/thumb/9/94/Thyroide_Goitre_nodulaire_simple_%28vue_ant%C3%A9rieure%29_55-o.apatho-441a-thyroide.jpg/512px-Thyroide_Goitre_nodulaire_simple_%28vue_ant%C3%A9rieure%29_55-o.apatho-441a-thyroide.jpg