
PUMPA - SMART LEARNING
எங்கள் ஆசிரியர்களுடன் 1-ஆன்-1 ஆலோசனை நேரத்தைப் பெறுங்கள். டாப்பர் ஆவதற்கு நாங்கள் பயிற்சி அளிப்போம்
Book Free DemoIn the vertebrate body, supportive or skeletal connective tissue forms the endoskeleton. These tissues support and protect the organs and also help in locomotion. Cartilage and bone are supporting tissues.
If we fold the ears and nose, they can bend easily due to cartilage, but we cannot bend the bones in the arms and legs. Cartilage is mainly present in the embryonic stages and acts as a supporting skeleton. Bones replace a majority of the cartilage in adults.
Cartilage:
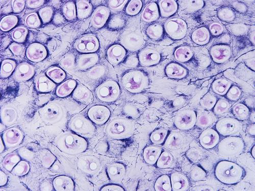
- It is a connective tissue having widely spaced cells.
- It is a non-porous, semi-rigid, flexible tissue, and has a solid matrix called chondrin which is made up of proteins and sugars.
- The matrix contains large cartilage cells called chondrocytes. These cells are found in fluid-filled spaces known as lacunae

Microscope view of human cartilage
Location: In humans, cartilage is present in the tip of the nose, external ear, end of long bones, trachea and larynx.
Function:
- Cartilage gives smoothness to the bone surfaces where it is joined.
- Its principal function is to connect bones.
- Cartilage provides support, act as a shock absorber, and provide a smooth, flexible, friction-free surface that allows our joints to work and our bones to move against each other.
Types of cartilage:
There are three types of cartilage present in the human body.

Different types of cartilage present in the human body
Hyaline cartilage:
- It is the most common type of cartilage.
- The solid matrix contains collagenous fibres.
- It is found in the nose, rings of the trachea, sternal parts of ribs.
- It provides support and flexibility to different parts of the body.
Elastic cartilage:
- It is also called yellow cartilage.
- It contains elastic and collagenous fibres.
- It is present in the external auditory canal of the ear.
- It makes this organ flexible.
Fibrous cartilage:
- It is the tough and flexible tissue found in the intervertebral discs.
- It acts as a cushion and in pubic synthesis, where it helps in parturition (process of birth).