
PUMPA - SMART LEARNING
எங்கள் ஆசிரியர்களுடன் 1-ஆன்-1 ஆலோசனை நேரத்தைப் பெறுங்கள். டாப்பர் ஆவதற்கு நாங்கள் பயிற்சி அளிப்போம்
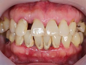
Book Free Demoபற்கள் மற்றும் ஈறுகளைப் பாதிக்கும் சில நோய்களின் நோய் காரணி, அதன் தாக்கங்கள் மற்றும் தீர்வுகள் குறித்து இந்த கோட்பாட்டில் கீழே கொடுக்கப்பட்டுள்ளன.
1. ஈறுகளில் இரத்தக் கசிவு
நோய் காரணி: இவ்வகை நோய் வைட்டமின் சி குறைபாடு காரணமாக ஏற்படுகிறது.
தாக்கங்கள் /விளைவுகள்: ஈறுகளில் இரத்தப்போக்கு ஏற்படுதல்.
தீர்வுகள்: சிட்ரஸ் பழங்களை உட்கொள்வதன் மூலம் இந்த நோயைத் தடுக்கலாம்.

ஈறுகளில் இரத்தக் கசிவு
2. பற்சிதைவு
நோய் காரணி: இவ்வகை நோய் பற்களிலுள்ள பாக்டீரியாவினால் ஏற்படுகிறது.
தாக்கங்கள்/விளைவுகள்: பாக்டீரியாவால் உற்பத்தி செய்யப்படும் அமிலங்களால் பல் சிதையத் தொடங்குகிறது.
தீர்வுகள்: தொடர்ந்து பல் துலக்குதல் மற்றும் ஃப்ளோசிங் செய்தல் மூலம் பற்கள் சிதைவதைத் தடுக்கலாம்.

பற்சிதைவு
3. புறத்திசு நோய்
நோய் காரணி: இவ்வகை நோய் புகையிலையை மெல்லுவதால் ஏற்படுகிறது.
தாக்கங்கள் /விளைவுகள்: புறத்திசு நோயினால் ஈறுகள் முழுமையாக நோயின் முற்றிய நிலையை அடைந்து எலும்புகள், ஈறுகள் மற்றும் பிறதிசுக்களை அழிக்கிறது.
தீர்வுகள்:
- புகையிலை மெல்லுவதைத் தவிர்க்க வேண்டும்.
- சரிவிகித உணவு முறையைப் பின்பற்ற வேண்டும்.

புறத்திசு நோய்